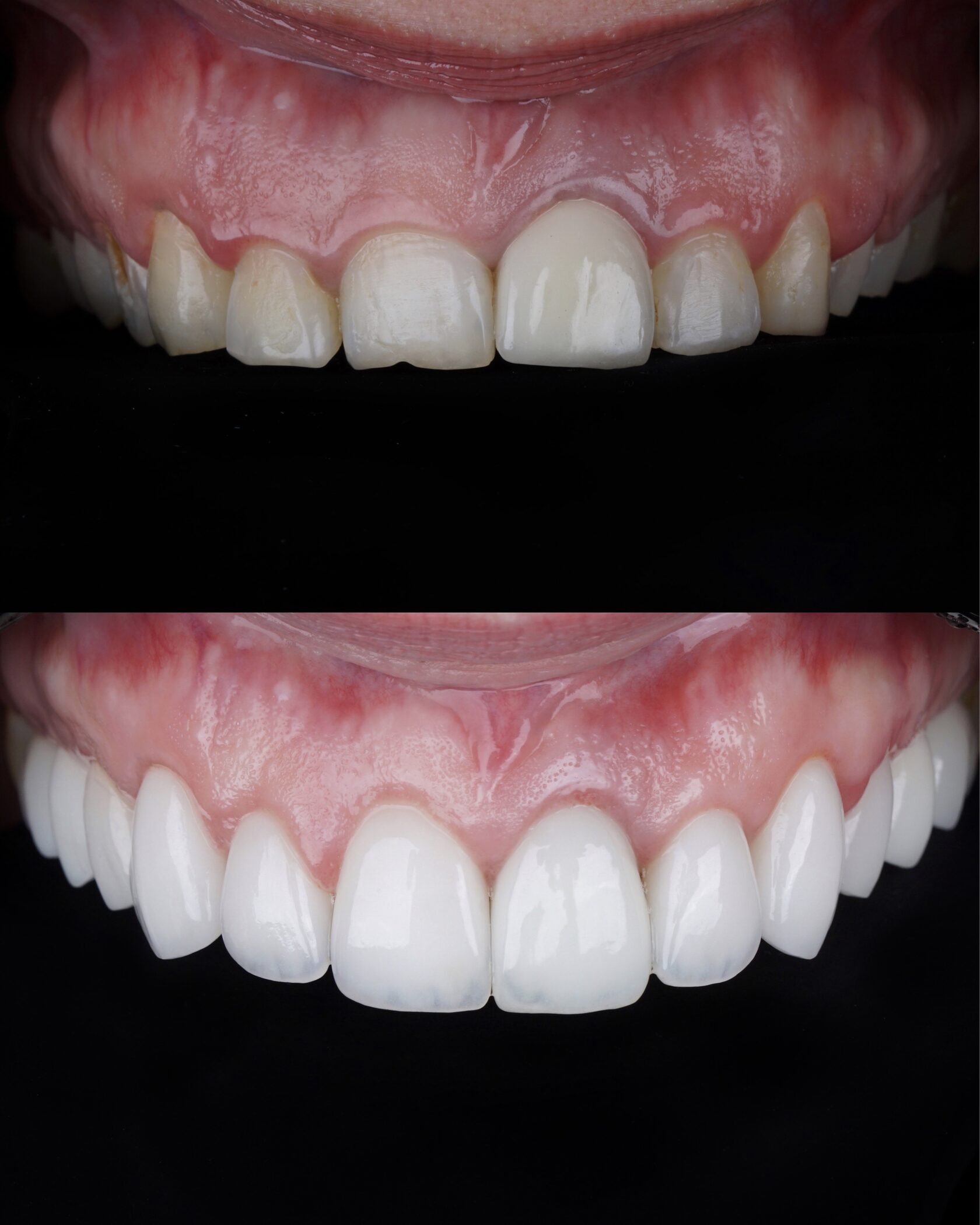
Авторские высокоэстетичные керамические виниры и коронки
Прекрасное состояние мягких тканей
Невидимая граница зуб/винир
Прозрачный режущий край
Микрорельеф керамики
До лечения
Виниры – это тонкие пластинки из керамики с помощью которых меняется форма, цвет, структура зуба. Под виниры зубы обрабатываются минимально. Могут быть изготовлены различным способом и из разных материалов. Я предпочитаю делать керамические т.к они более эстетичные и долговечные, а также смотрятся натурально. Могут быть выполнены из керамических масс разной плотности, а также различаться по способу производства: 100% ручная авторская работа; с помощью цифровых технологий.
На сегодняшний день, технологии 3D моделирования позволяют вам увидеть и даже примерить, будущую улыбку еще до начала лечения
3D моделирование неотъемлемая часть моей работы, благодаря нему и пациент и врач понимают итоговый результат.

Перенос 3D модели в полость рта делается с помощью специальной жидкой композитной пластмассы. Обращу ваше внимание на то, что это легко снимается, на зубы никак не влияет.

Благодаря этому методу пациентам стало легче решиться на улыбку мечты. Такой метод даёт пациенту возможность познакомиться с результатом, а также его подкорректировать и смело приступить к постоянной работе.

Каждая работа неповторима: индивидуально подбираем форму реставраций под ваш стиль, строение и черты лица

Максимально натуральные реставрации: прозрачный режущий край, микрорельеф натурального зуба, идеальное прилегание винира/коронки к зубу

Подбираем оптимальное функциональное положение, реставрации ощущаются как свои собственные зубы

Керамические коронки/виниры E-max premium - 60.000 руб
Керамические коронки/виниры E-max - 50.000 руб
Керамические коронки на импланте osstem - 50.000 руб, astra и др. - 70.000 руб

3D модель "до"
3D макет будущей улыбки
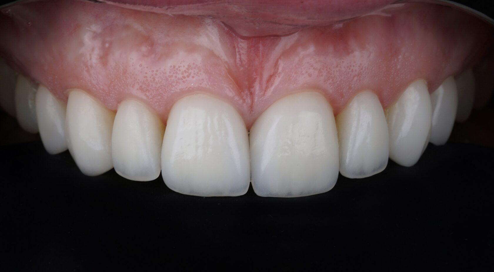
Примерка будущей улыбки (из пластмассы)
Зафиксированные постоянные керамические реставрации

Html code will be here